Prostate brachytherapy is radiation therapy used to treat prostate cancer, using the placement of radioactive sources in the prostate gland to destroy the cancerous cell, without harming nearby healthy cells.
Over the last 10 years, a number of myths have emerged amongst the physician community regarding the benefits and contraindications of brachytherapy, including factors related to age, body habitus, radiation exposure to family, curative ability, long-term outcomes, rising PSA within 3 years (bounce), patient satisfaction, patient-reported outcomes, penile shortening and regret, increased need for surgery after brachytherapy, salvage treatment post-surgery, the rapid development of secondary malignancy, seed migration, hair loss, cremation, lack of cost-benefit value, and limited future and lack of innovation in the field of brachytherapy.
However, many of these complaints have convincing, fact-based counter arguments difficult to ignore.
Age:
Brachytherapy is indicated for men of all ages. In a 2017 study by Langley SE et al. (BJU Int 2017), the long-term oncological outcomes and toxicities in 597 men aged 60 or under with low-dose-rate brachytherapy for localized prostate cancer were seen as very promising. At 5-10 years, the relapse-free survival for low-intermediate-high risk was 98-96-92%, respectively, at 5y and 95-98-87% at 10 years, making brachytherapy an excellent option for curative intent.

Body Habitus:
With respect to physique or body build, a study by Roermund JGH et al. (in BJUU Int 2009) showed that the body mass index was not a prognostic marker for PSA (prostate-specific antigen) failure and survival in Dutch men treated with brachytherapy. The outcomes in men that were obese were still very good, and an ultrasound template-guided implant is a good approach for the management of these patients, to get the radiation treatment to the prostate with curative intent.

Radiation exposure to the family:
The facts suggest that radiation exposure is less than one would get flying from New York to San Francisco.
In a study by Michalski et al. (IJROBP 2003), they showed that lifetime exposure to a prostate implant was equivalent to how much salt we take in as humans per year and less than average background and environmental and cosmic exposure.

Curative ability:
A study by Crook et al. (Radiotherapy and Oncology 2020) showed in a review of 14,000 patients that if you can achieve a PSA (prostate-specific antigen) of 0.2ng/ml within 4 years following brachytherapy, the ability to be cured 15 years later is up to 97-99%.

Long-term data and outcomes:
In a study by Grimm P et al. (BJU Int 2012), assessing every publication that had a minimum of five years of follow-up, and 100 patients with a low intermediate high risk, brachytherapy came out on top in PSA-free progression compared to surgery, EBRT, HDR, proton therapy, robotic surgery and high intensity focused ultrasound.

Patient satisfaction and sexual satisfaction:
A study by Blanchard P et al. (BJU Int 2017) showed that patient satisfaction was better with brachytherapy in terms of quality-of-life factors, including sexual satisfaction, compared to the effects of nerve-sparing robot-assisted radical prostatectomy:

Patient-reported outcomes:
A study by Hoffman KE et al. (JAMA 2020) showed that at 5 years, patient-reported outcomes are excellent in terms of disease-specific functional outcomes:

Penile shortening or regret:
A study by Parekh et al. (Urology 2013) showed that there was no penile shortening or treatment regret in brachytherapy alone, compared to radiotherapy + androgen deprivation, or radical prostatectomy:

PSA rise within 3 years:
A study by Frank SJ et al. (Cancer 2011) showed that benign PSA bounce is common within 3 years of the implant (actual vs prostogram):

Secondary malignancies:
A study by Walls CJD et al. (BMJ 2016) showed that the risk of brachytherapy is the same as surgery.


Salvage therapy following radiation:
A study by Allen GW et al. (Cancer 2007) showed that salvage surgery is an option following brachytherapy:

Salvage brachytherapy following radiation:
A study by Crook J (ASTRO 2020 GU HIGHLIGHTS) found that salvage low-dose-rate brachytherapy for post-EBRT recurrence provides rare local failures, with 14% late grade 3 and no grade 4/5 toxicities, though distant recurrences are still an issue at 10 years.


Seed migration:
A study by Maletzki P et al. (Prostate International 2018) showed that asymptomatic seed migration may occur after 3 years.


Hair loss:
There is no data to support hair loss following brachytherapy.
Cremation:
A study by Que W (JACMP 2001) demonstrated that cremation can be performed safely at any time.

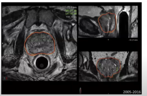
Innovation in brachytherapy:
A study by Moreno A.C et al. (Handbook of image-guided brachytherapy 2017) showed that MRI-assisted radiosurgery (MARS) increases precision.


Value and future of brachytherapy:
A study by Thaker N et al. and Frank SJ and Mourtada F (Brachytherapy 2017) showed that brachytherapy proved the most innovative, cost-effective, curative, excellent quality of life and high-patient satisfaction treatment, and utilizing MRI in this technique does not increase the cost.


The myths trying to push brachytherapy to the background have only led to convincing studies that have proven Brachytherapy as an optimal treatment for prostate cancer, and that’s a fact.

MDForLives is a global healthcare intelligence platform where real-world perspectives are transformed into validated insights. We bring together diverse healthcare experiences to discover, share, and shape the future of healthcare through data-backed understanding.


