Ischemic Stroke – Causes and Treatments
Over 13 million people will have a stroke each year and around 5.5 million people will die as a...
Over 13 million people will have a stroke each year and around 5.5 million people will die as a...
Tea is a popular way for many individuals to start their day. According to a new study, those who...
Our gut microbiome does far more than just aid digestion — it plays a vital role in generating essential...
Arthritis Awareness Month is an important opportunity to reflect on the impact that arthritis has on people who live...
Tumor-agnostic treatments have come into prominence as a cutting-edge new method of treating cancer in an era where precision...
Patients with a genetic disease called alpha1 antitrypsin deficiency can develop both liver disease and lung disease, either of...
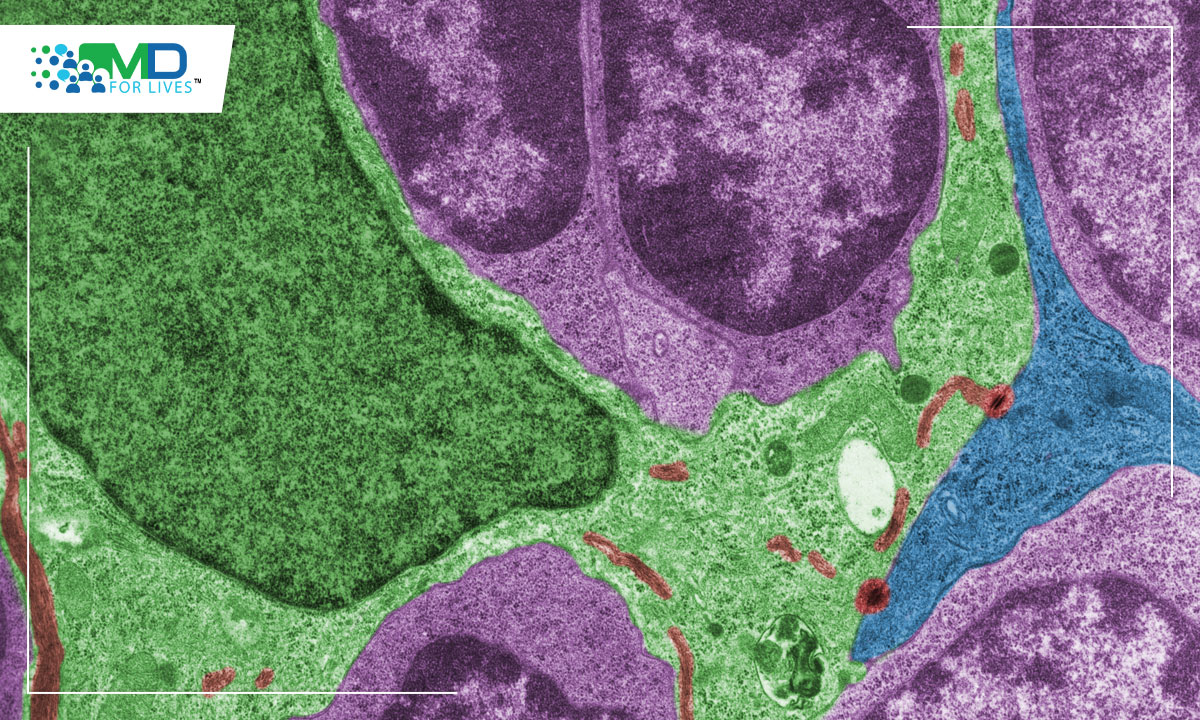
Scientists from the University of Missouri School of Medicine and College of Engineering described the thymocyte cells, an immune...
In 1984, President Ronald Reagan labeled the last week of June as Helen Keller Deaf-Blind Awareness Week. Every year,...
Fear is one of the most deeply conserved emotional responses in human biology. From an evolutionary standpoint, it has...
For decades, some doctors and practice guidelines have recommended that older adults take low-dose aspirin daily for primary cardiovascular...